Overview
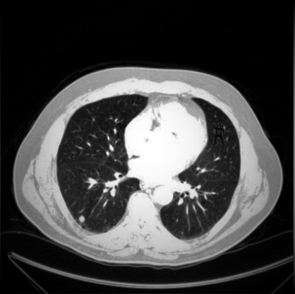
To make this article more fun, let us first try to perform an interesting task. Below is a random image of a lung CT scan. For the first task, try to count the number of nodules you see in the image below (nodules are the white patches in the black space you see in the scan). It does not matter if the nodules are big or small- they all count! Try to count as many nodules as you can in 5-10 seconds (do not cheat!).

This was your practice trial. Now do the same task again with the scan below! Repeat the above procedure again for the second scan exactly as you did before.

How many nodules did you count in the second image? Were there 20, 30, 40 or maybe 50? The answer actually does not matter! Let me ask you another question instead:
I bet that you scrolled back to the image to see where the gorilla was! If you still cannot spot it, it is in the top right corner of the second image, and here is a zoomed in version of the image.

It is fine if you did not spot the gorilla, because most experts failed to spot the gorilla too! In an experiment by Drew et al. (2013), 24 expert radiologists were told to perform a similar task where they just observed different slices of a lung CT scan. Radiologists were free to scroll through the slices without any restrictions as well. Interestingly, out of the 24 radiologists, 20 radiologists failed to notice or report the gorilla. Also, out of the 20 radiologists that missed the gorilla, 12 of them were directly looking at the gorilla’s location and they still failed to report it. After the trial, when the radiologists were asked if they spotted anything unusual, all radiologists reported seeing the gorilla when they went back to the image another time (Drew et al., 2013). In the same study, the same experiment was then replicated with 24 naïve observers, and none of the observers reported the gorilla. This indicated that experts are actually slightly better at the task than the general population, which is reassuring, considering they look at scans for a living.
It is believed that experts do better than the naïve population because their attentional capacity is less completely occupied by the primary task (Drew et al., 2013). Furthermore, the authors point out that there could be multiple reasons as to why the radiologists missed the gorilla in the first instance. First, the participants were not expecting to find something unusual, especially something like a gorilla, so their eyes (and brains) were not looking for a gorilla. Also, the contrast of the gorilla itself would have made it difficult for the radiologist to detect the gorilla. The authors speculate that perhaps the use of an albino gorilla would have increased the radiologist detection rates.
The point of the article is to not say that radiologists are bad at their job, but rather that even experts can easily fall prey to the inattentional blindness effect. Inattentional blindness can simply be explained as a phenomenon where there is a failure to notice a fully visible, salient and unexpected object, because your attention was occupied by another task (in this instance by counting nodules). This very popular video below also demonstrates the same effect.
Interestingly, when watching the above video, professional basketball players were better than the general population at spotting the gorilla, further backing the claim that experts are less prone to inattentional blindness than the naïve population (Drew et al., 2013).
Again I would like to emphasise that it would be a mistake to regard the results from Drew et al. (2013) as an indictment of radiologists. Radiologists are highly skilled practitioners of a very demanding class of visual search tasks. They review and analyse items from various aspects, using their medical expertise, various tools, resources, professional consultancy etc. As the authors themselves say “the message of the present results is that even this high level of expertise does not immunize against inherent limitations of human attention and perception”. Cognitive scientists should further investigate the understanding of these limits which can aid in giving us a better chance of designing medical and other visual-search based tasks in ways that reduce the consequences of these limitations.
To access the research paper by Drew et al. (2013), follow the following link: https://www.ncbi.nlm.nih.gov/pmc/articles/PMC3964612/
Citation
Drew, T., Võ, M. L. H., & Wolfe, J. M. (2013). The invisible gorilla strikes again: Sustained inattentional blindness in expert observers. Psychological science, 24(9), 1848-1853.
Latest From Instagram
More from the NeuroBlog
How can Neurofilament light concentrations help in Diagnosis?
Overview In May 2022, I attended a conference in Syndey, Australia. The conference was targeted mainly for psychiatrists and neuropsychiatrists. I was able to attend this lovely conference through my company called Monarch Mental Health Group. On the first day, the conference kicked off by an invited keynote speaker. This speaker was a psychiatrist, and…
Execessive Neural Noise in Developmental Dyslexia?
Overview Developmental dyslexia (reading disabilities/disorders, or decoding-based reading disorder) is a neurodevelopmental disorder with multiple potential underlying genetic, neural, and cognitive factors. Past models have not been very successful at integrating key neural and behavioural features of dyslexia with common neural processes, until Hancock et al. (2017) proposed their dyslexia model. Dyslexia risk genes indicate…
Debunking Popular Neuromyths: Do You Use Your Entire Brain?
It is the summer of 2014 on Earth’s Northern hemisphere and the movie Lucy is hitting theatres. The official promotional posters and movie trailers contain the tagline “The average person uses 10% of their brain capacity. Imagine what she could do with 100%.” Lucy becomes the second most successful debut for a French action film,…
